Call Us
+91 94872 71222
|
0427 3587703
Book an Appointment
Home
About Us
Doctors
Treatments
Gallery
Photos
Videos
Appointment
Contact Us
Home
/
Treatments
/
Aesthetic procedures
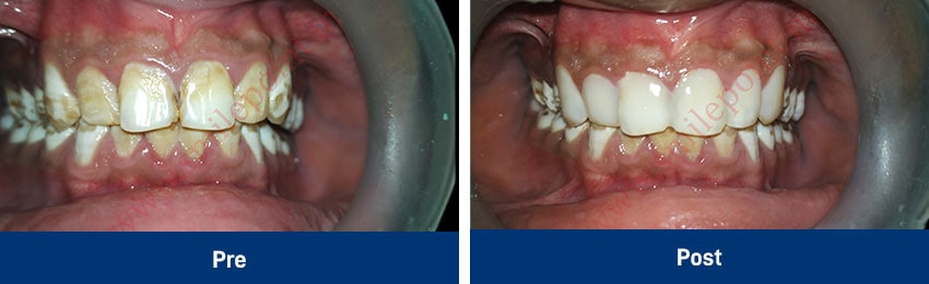
Aesthetic procedures
Aesthetic procedures
Laser Dentistry
Implants
Computer assisted and navigated root canal treatment
Ceramic and zirconia based fixed teeth
BPS, Flexible dentures & Obturators
Tooth coloured and metal clips for teeth alignment
Tooth Coloured Fillings
Gum care surgery
Comprehensive Child care dentistry
Facial Cosmetic Surgery
Dental & Facial Trauma Care
Minor oral surgery - wisdom tooth removal, tongue tie removal, etc.
Ultrasonic Scaling
Teeth whitening (bleaching)
Aesthetic procedures
Facial pain management
+91 94872 71222
0427 3587703