Call Us
+91 94872 71222
|
0427 3587703
Book an Appointment
Home
About Us
Doctors
Treatments
Gallery
Photos
Videos
Appointment
Contact Us
Home
/
Treatments
/
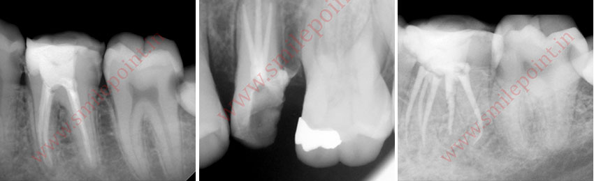
Computer assisted and navigated root canal treatment
Computer assisted and navigated root canal treatment
Computer assisted and navigated root canal treatment
Laser Dentistry
Implants
Computer assisted and navigated root canal treatment
Ceramic and zirconia based fixed teeth
BPS, Flexible dentures & Obturators
Tooth coloured and metal clips for teeth alignment
Tooth Coloured Fillings
Gum care surgery
Comprehensive Child care dentistry
Facial Cosmetic Surgery
Dental & Facial Trauma Care
Minor oral surgery - wisdom tooth removal, tongue tie removal, etc.
Ultrasonic Scaling
Teeth whitening (bleaching)
Aesthetic procedures
Facial pain management
+91 94872 71222
0427 3587703